
Turkey dental work leaves woman in constant pain
A Shropshire woman says four dental implants in Antalya left her with a collapsed nasal septum and ongoing infections, with NHS warning of the risks of traveling abroad for cosmetic procedures.

A Shropshire woman says four dental implants in Antalya left her with a collapsed nasal septum and ongoing infections, with NHS warning of the risks of traveling abroad for cosmetic procedures.

Health-focused advice counsels consent and self-care in the face of relationship stress and grief.

Therapy-based techniques are being used to interrupt impostor syndrome at work and in schools, with practical steps for daily self-talk

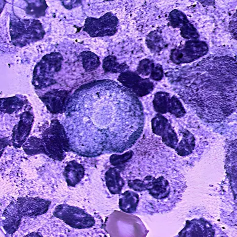
Urgent public health alert issued as six cases in three weeks prompt mask use for hospital staff and visitors amid exposure across multiple sites

Investigators warn that fake and misused Blue Badges are at an all-time high, prompting new enforcement and policy responses to protect disabled drivers.

Survey finds 90% of 1,200 respondents were not provided menopause management plans; advocates urge integrated care from diagnosis

A seven-day Cairns stay advertised on Booking.com drew complaints after a guest found pervasive mould in multiple rooms, prompting health concerns and questions about refunds.

Public health officials say early detection and targeted guidance are helping survival rates as wells and ponds dominate daily life in the state.

Emergency physician urges people to chew a single aspirin at first signs of a heart attack and to call triple zero immediately