
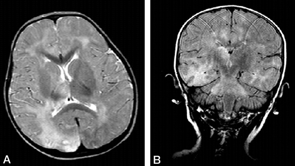
Xanthan gum could help scale up brain organoid research, Stanford study finds
Common food additive prevents lab-grown brain organoids from sticking together, enabling thousands more to be studied for epilepsy, autism and other conditions.

Common food additive prevents lab-grown brain organoids from sticking together, enabling thousands more to be studied for epilepsy, autism and other conditions.

Health officials warn about subacute sclerosing panencephalitis, a rare, nearly always fatal complication that can arise years after measles. The case comes as vaccination rates dip in parts of the United States.

LA case underscores risks of SSPE, a deadly condition that can emerge years after measles as vaccination rates dip

A Hopelab and Data For Progress poll shows 47 percent of people aged 13 to 24 report family problems affecting mental health; loneliness and academic stress also prominent drivers

Prosecutors describe grisly scene as the elderly defendant appears in court; bail decision pending

Nurse Alexis Von Yates pleads no contest to lewd or lascivious battery; license suspended; prison term followed by probation and community control

Nagoya University researchers identify four immune-response patterns and call for individualized vaccination strategies amid ongoing booster debates

Retro Biosciences seeks to restart cellular cleaning to clear brain gunk and potentially restore function, with first patient by end of 2025

The actress says a life-changing hospital infection and a subsequent legal battle shaped years of her life, underscoring the human cost behind high-profile NHS compensation cases