
Trial slows Huntington's disease progression by up to 75% in gene therapy study
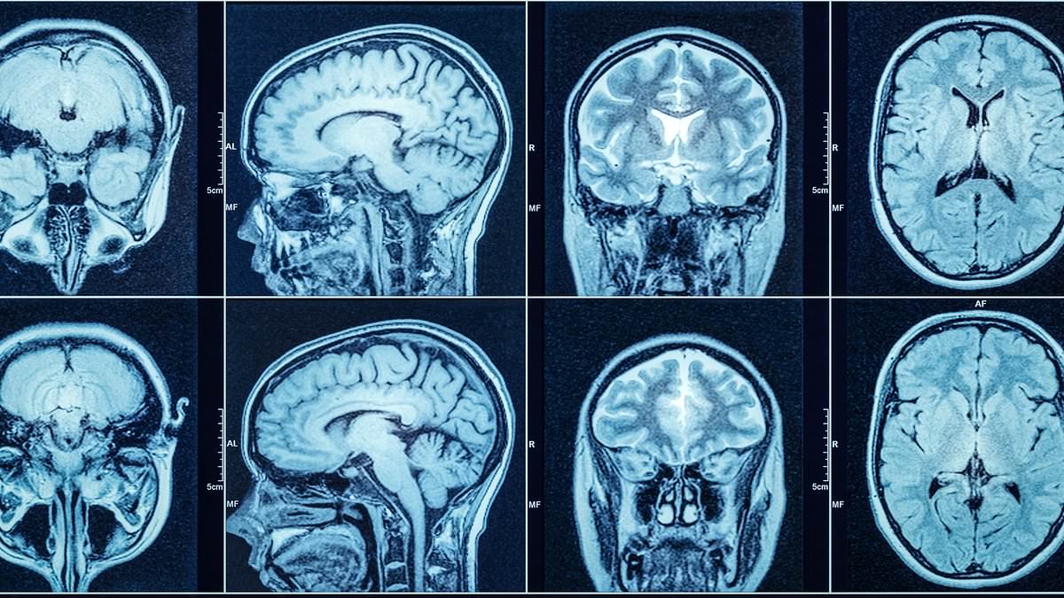
University College London-led trial of AMT-130 shows significant slowing of disease in 29 patients over three years

University College London-led trial of AMT-130 shows significant slowing of disease in 29 patients over three years

Researchers connect belief in fringe theories with high overconfidence, highlighting why some claims persist even when disproven

Researchers find a strong link between overconfidence and belief in conspiracies, offering context for why apocalyptic claims spread online.

Vast plans a compact, four-astronaut platform with queen beds, maple interiors and a path toward a larger Haven-2.

Vast unveils Haven-1, a compact, high-comfort private orbital lab featuring queen-size beds and maple interiors as a stepping stone to larger private stations.

Scientific advances in space medicine may be the key to a sustainable human presence on the Red Planet, as researchers confront radiation, isolation, and long-duration health risks.

Study finds carbapenem-resistant infections increased 2019–2023; experts warn of potential community spread and limited treatment options.

Partial skeleton of Joaquinraptor casali from Patagonia offers one of the most complete megaraptorans yet

New James Webb Space Telescope observations describe unprecedented ionospheric features with no solar-system analog, published Aug. 28.